8 495 646 01 56
Заказать обратный звонок
9:30 - 18:30 Отдел продаж (Пн-Пт)
10:00 - 18:00 Склад (Пн-Пт)
Адрес: 117420, г. Москва, улица Намёткина, 14 корп.1
Телефон 8 495 646 01 56
Поделиться:

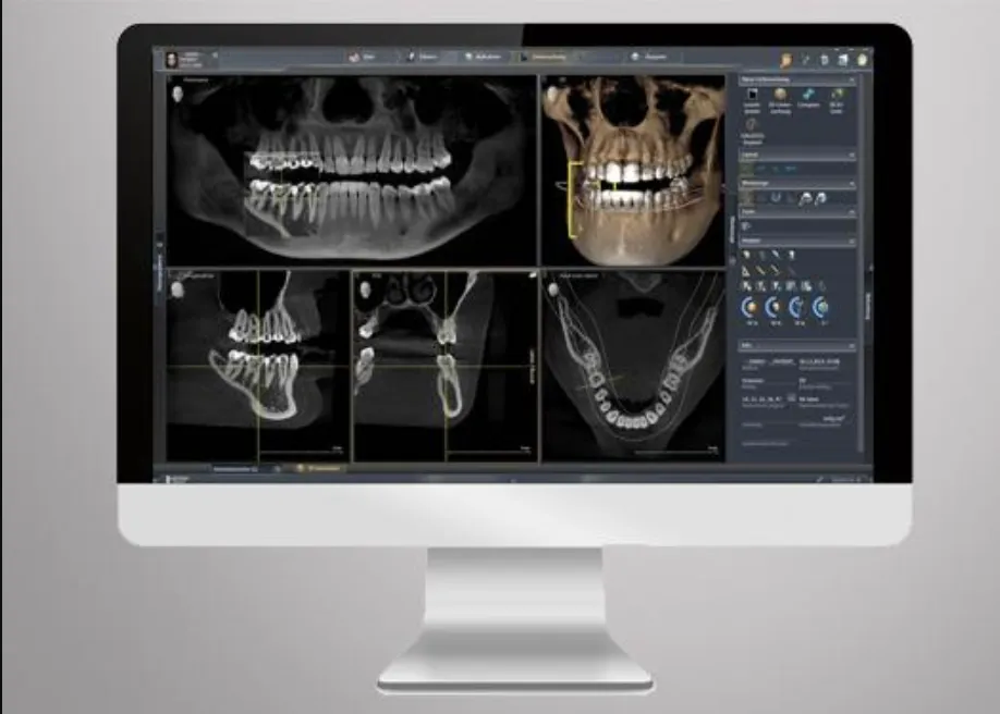
Data Management Software

Data Management Software (программное обеспечение для управления данными) — это специализированные цифровые системы, используемые в стоматологии для хранения, обработки и организации информации о пациентах и клинических процессах.

Такие программы позволяют вести электронные медицинские карты, сохранять результаты диагностики, включая рентгеновские снимки и 3D-сканы, а также отслеживать историю лечения. Это обеспечивает быстрый доступ к данным и упрощает работу врача при планировании и проведении процедур.

В современных клиниках Data Management Software часто интегрируется с диагностическим и лечебным оборудованием, например с рентген-аппаратами или CAD/CAM системами. Это позволяет автоматически передавать и хранить данные, снижая риск ошибок и потери информации.

Кроме клинических задач, такие системы используются для административного управления — записи пациентов, планирования расписания, ведения отчетности и контроля финансовых операций. Это делает их важным инструментом для эффективной работы клиники.

Data Management Software является ключевым элементом цифровой стоматологии, обеспечивая системность, прозрачность и высокий уровень качества обслуживания пациентов.

Поделиться:

Популярные

код товара: 007808
код товара: 007226
код товара: 009999
код товара: 019996
код товара: 019997
код товара: 019998
код товара: 019999
код товара: 008171
LCD-дисплей
< 60 дБ
99% Eff
код товара: 008596
T-motion
309 600 ₽ 517 735 ₽
-40%
Рассрочка
30 · 0 · 12
Lifedent, Китай
код товара: 008397
T-motion
код товара: 008396
T-motion
SmartGlide
752 200 ₽ 804 576 ₽
-7%
Рассрочка
30 · 0 · 12
Lifedent, Китай
код товара: 008393
T-motion
SmartGlide
код товара: 008391
T-motion
8 отзывов
382 165 ₽
Рассрочка
30 · 0 · 12
Lifedent, Китай
код товара: 008373
T-motion
7 отзывов
337 656 ₽
Рассрочка
30 · 0 · 12
Lifedent, Китай
код товара: 008372
Затрудняетесь в выборе? Мы всегда на связи и поможем по всем вопросам
Доступно в Сплит
Можно купить в лизинг
Беспроцентная рассрочка
Акции Корзина Избранное {{ user.auth ? 'Профиль' : 'Войти' }}
favourite compare image
ALLTION AM-6000C стоматологический микроскоп с камерой
Товар добавлен в избранное
Всего в списке 2 товара
перейти в избранное